El 72% de la población adulta presenta recesión gingival: casusas y tratamiento

Según señala, la etiología de la recesión gingival es multifactorial, pudiendo depender de un cepillado agresivo o incorrecto

03 ene 2024 - 15:47
Dientes
Dientes

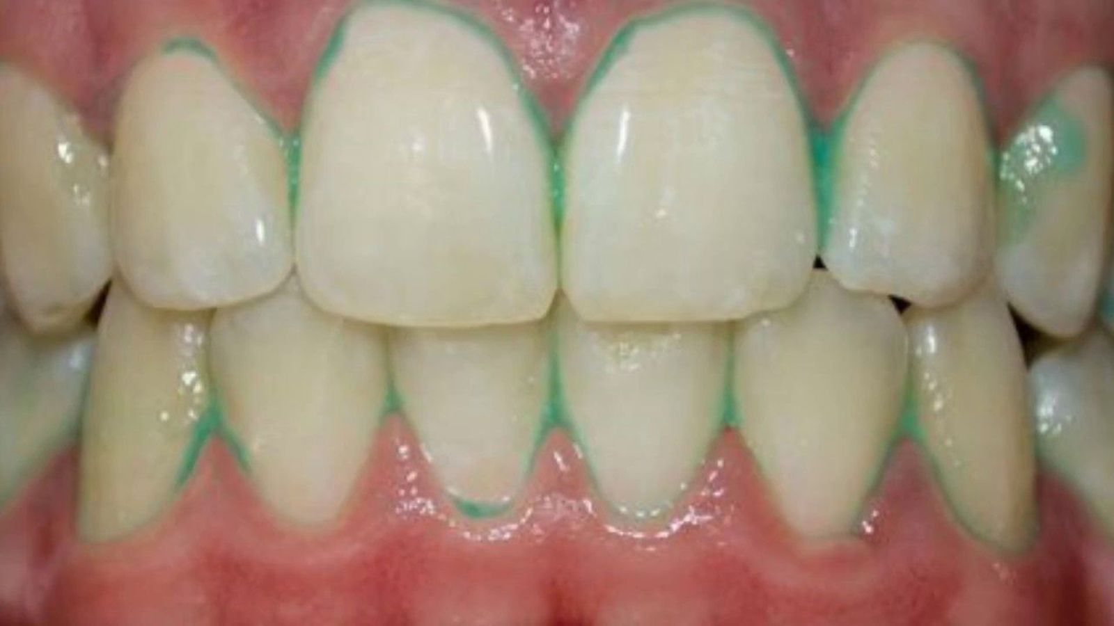
La recesión gingival, también conocida como encías retraídas, se manifiesta en el 72 por ciento de los adultos mayores (de 65-74 años), según la última encuesta epidemiológica de salud oral realizada en España en 2020, de la cual se hace eco el Consejo General de Dentistas.

Se trata de una patología que se caracteriza por una retracción de la encía de su zona habitual (el límite de la corona y la raíz del diente), dejando expuesta una parte de la raíz, pudiendo afectar negativamente a la calidad de vida de quienes lo padecen.

"Cuando se produce en los dientes anteriores, además de suponer un problema estético por la sensación de alargamiento dentario, la recesión gingival constituye un problema clínico importante debido a la pérdida de inserción de la raíz en el hueso. Es más, muchas veces no solo se desplaza la encía, también lo hace el hueso que soporta al diente, provocando una movilidad anómala de éste y, en ocasiones, su pérdida", explica el presidente del Consejo General de Dentistas, el doctor Óscar Castro Reino.

Según señala, la etiología de la recesión gingival es multifactorial, pudiendo depender de un cepillado agresivo o incorrecto, ya que el uso de cepillos de cerdas duras y los movimientos bruscos pueden desgastar el tejido gingival; maloclusión y dientes no alineados; la gingivitis y la periodontitis; prótesis mal ajustada; factores genéticos o tabaquismo.

No obstante, la recesión gingival no solo tiene un impacto estético, sino que también puede tener consecuencias significativas para la salud bucodental. El doctor Castro señala que "los pacientes con esta patología desarrollan sensibilidad dental y son más propensos a la caries debido a la exposición de las raíces dentales".

En cuanto al tratamiento, una vez que la encía se ha retraído es muy difícil que regrese a su posición original, salvo en casos muy leves e iniciales en los que se elimina rápidamente la causa que provocó el problema, como un mal cepillado. "En casos más avanzados será preciso recurrir a la llamada cirugía mucogingival para reparar y cubrir las áreas afectadas. Los procedimientos más habituales en estos casos son los injertos o los colgajos", detalla el doctor Castro.

De nuevo, el presidente del Consejo General de Dentistas insiste en que es fundamental acudir regularmente a revisión odontológica para que el dentista pueda detectar a tiempo cualquier patología. "La prevención y el tratamiento adecuado en fases tempranas son fundamentales para evitar complicaciones en el futuro", concluye.

stats